医院要闻
  • 现代康复治疗——让每一个生命都向阳生长

    2025-07-28

    当肢体活动受限,我们始终相信,生命的质量从不被标签定义。现代康复,正在以专业为笔、温度为墨,为残疾人绘就肢体功能重建之路,为养老院老人勾勒“康养融合”的幸福图景。       李女士(化...

  • 7岁儿童多生牙深度“埋伏”,微创拔除守护笑容

    2025-07-28

    颌骨正常发育构成潜在威胁。       预防多生牙,替牙期检查是关键!建议在孩子6-7岁左右时进行一次全面的口腔检查,并拍摄口腔全景片,这是发现埋伏多生牙、评估牙齿发育状况的最有效手段。另外...

  • 我院护理技能操作大赛成功举办

    2025-07-28

    为进一步提升护理人员专业技能水平,夯实临床护理操作基础,7月25日下午,我院在门诊三楼多功能厅成功举办主题为“精于技艺,诚于护理”的护理技能操作大赛。院工会主席、副院长栾育欣,副院长...

  • 夜间门诊 | 既能纳凉又能问诊,“夜间义诊”太赞了!

    2025-07-25

    炎炎夏日,我院紧贴居民健康需求,促进夜间门诊和夜间义诊有机结合,创新性推出“健康守护•清凉一夏”——暑期义诊活动,由夜间门诊出诊医生和其他科室医生组成专家团队,既为市民朋友提供了纳...

  • 从“停车难”到“舒心直达”:用满意清单重构就医首站体验

    2025-07-25

    “以前来医院看病,门口比较拥堵,找车位就得好一会,急得人直冒火。现在好了,跟着引导牌走,三分钟就停好车,太方便了!”刚停稳车的张先生笑着说。这短短几分钟的变化,背后是我院为解决“停...

  • 走路不便要被“捆起来”?绑带疗法看过来

    2025-07-24

    来到我院康复医学科就诊时,他走路平衡性较差,摔倒风险大,必须要在监管下才敢走路。       根据评估结果,科室制定了个性化治疗方案,运用简便安全的康复训练技术——绑带疗法,帮助张先生辅...

  • 炎炎夏日,警惕高温“刺客”——热射病

    2025-07-24

    近期,西安持续高温,对公众健康构成了潜在威胁。其中,热射病更值得警惕。       7月19日9时许,我院120急救站接到指令,附近一家属院内,一名男性疑似中暑,亟需救治。急诊科值班医生立即出诊...

  • 直击“医”线 | 他(她)们全力以赴,守护手指!

    2025-07-24

    正是这些默默奉献的消防员、急救人,用汗水、专业与担当,筑牢了守护生命健康的坚固防线,他们是当之无愧的凡人英雄!       指令就是命令,速度就是生命。

  • AI黑科技赋能健康管理,这场义诊太赞了!

    2025-07-23

    “站在仪器上,只需要20秒转一圈,就能生成人体3D模型,身体质量指数、体脂率等数据一目了然,更直观地反映了身体状况,太神奇了!”7月22日上午,在我院门诊一楼大厅,从手机端获得自身健康数...

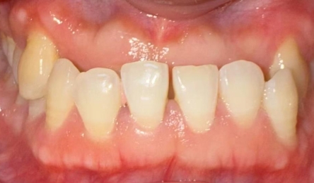
  • 3个月,见证舒心笑容!“地包天”矫正之旅看过来

    2025-07-22

    当前,我院口腔科正畸矫治活动正如火如荼开展中,帮助不少爱美人士消除社交尴尬,重新拥抱快乐,绽放灿烂笑容。其中,市民王女士的“地包天”矫正之旅,让她着实收获了社交自信。       今年4月...