医院要闻
  • 直击“医”线|九旬老人遇骨折,妙手救治续走健康路

    2025-05-06

    决定为老人实施骨水泥微创手术。这种手术具有创口小、恢复快的特点,可让申奶奶免于繁琐的开放手术,减轻痛苦。       面对突如其来的疼痛和不便,申奶奶并没有被击垮。相反,她以积极乐观的心态...

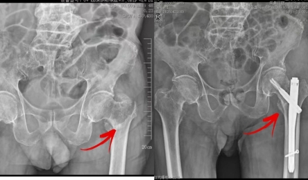
  • 直击“医”线|94岁老人股骨粗隆间骨折,还合并多种慢病……

    2025-05-06

    高龄就一定是“手术禁区”吗?未必!特别是高龄老人骨折后,应予以充分评估,符合手术条件的,应尽早手术,从而让患者尽快恢复,减少并发症,降低死亡率。       有一名94岁老人,在家时不慎摔...

  • 关爱劳动者心理健康,共筑职业健康防线

    2025-05-06

    今年4月25日至5月1日是第23个《职业病防治法》宣传周,今年的主题是“关爱劳动者心理健康”,标志着职业健康管理从传统的物理危害防控向“身心并重”的全面保护转型。我院积极响应号召,在比亚...

  • 直击“医”线|湖南游客突发脑卒中,紧急救治化险情

    2025-04-27

    在通用环球中铁西安医院,医疗团队的专业素养和救治能力,以及多学科之间的默契协作和快速响应,体现在了一起起的具体病例中。       患者周某(化名),男性,62岁,系湖南籍来陕游客。4月24日...

  • 夜间门诊|上学工作不耽误,专家诊疗好服务

    2025-04-24

    在晚上也能享受到专家诊疗服务。       夜间门诊       开设时间:周一至周五 17:30—20:30       挂号方式:通用环球中铁西安医院互联网医院 / 医院自助机挂号       开设科室:呼吸与危重症...

  • 无痛医院 | 舒适检查,助力机化性肺炎精准诊治

    2025-04-23

    了患者在诊疗过程中的舒适度和依从性,为机化性肺炎等呼吸系统疾病的诊治提供了保障,助力患者重获畅快呼吸。       疼痛被视为继脉搏、呼吸、血压、体温之后的第五大生命体征,在没有痛苦和恐...

  • 直击“医”线|筑牢“心”防线,老人乐开颜

    2025-04-22

    张大爷的康复经历,只是我院日常救治工作的一个掠影,但就是这一名名患者、一起起病例,激励着我们继续秉承“以品质医疗守护生命健康”的理念,以前沿的技术、温馨的照护,为心血管疾病患者筑牢...

  • 直击“医”线|3D打印“补头骨” 颅脑损伤男子重获新生

    2025-04-17

    三维塑形、隔热抗感染等优势,与人体骨骼弹性模量接近,可避免应力性损伤,同时通过3D打印技术“量体裁衣”,制作出的"头骨补丁"与患者头型吻合。此外,该材料性能稳定,可降低术后并发症风险。...

  • 直击“医”线|我院成功开展“持续性房颤”三维标测射频消融术

    2025-04-15

    日前,我院心血管病院何丽主任团队成功开展了两例“持续性房颤”三维标测下导管射频消融术,受到了患者及家属赞誉。       第一位患者为老年男性,有4年房颤病史,近日以胸闷为主诉来院就诊。经...

  • 直击“医”线|抓住康复黄金期,八旬脑出血患者站起来了

    2025-04-14

    你是否知道,康复也是有黄金期的,特别是高龄老人出现脑出血、中风后,在康复黄金期内越早介入,越能有效改善偏瘫等功能障碍,避免完全丧失生活自理能力。       有一位81岁的老人,今年春节前...