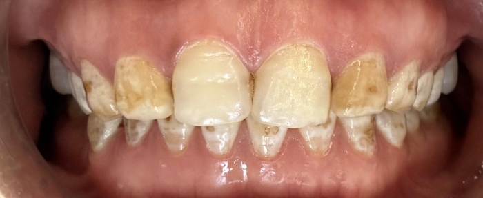
4月23日,饱受氟斑牙困扰多年的陈女士,心中的石头终于落地了。此前,她的上前牙出现黄褐色斑块和釉质缺损,不仅影响咀嚼功能,而且不敢开口笑,给社交带来不便。抱着希望,她来到我院口腔科就诊。
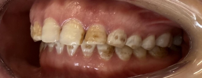
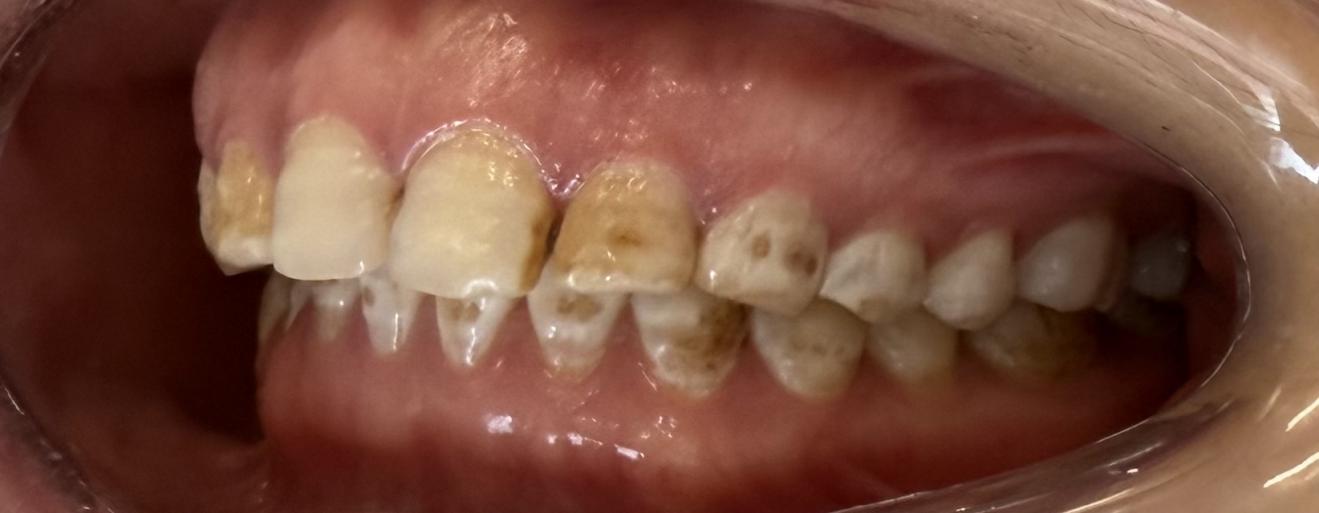
党秀医生接诊,为她进行了全面的口腔检查和美学评估。患者牙齿牙面呈深黄色斑块状,唇侧釉质多处片状缺损,边缘粗糙,部分区域浅层牙本质暴露,进冷热食物时常有不适。其余牙齿也存在不同程度的色素沉着,整体颜色晦暗。结合病史及临床检查,诊断为重度氟斑牙伴牙釉质缺损。
针对患者“既要恢复功能,又要美观自然”的诉求,党秀定制了“全口牙齿美白+美学修复”的诊疗方案。首先,对全口牙齿进行渗透树脂美白,将基础牙齿色调提亮2-3个色阶,使其他牙齿与后续贴面修复后的上前牙颜色协调;其次,开展上前牙贴面美学修复,制作超薄瓷贴面,恢复牙体外形、遮色并重建缺损的釉质层。全程治疗周期约10天,患者无明显不适。
当日,患者前来复诊,戴入最终修复体后,她看着镜中整齐洁白、形态自然的前牙,感觉像换了一副新牙齿!患者表示,咀嚼功能明显改善,公共场合也敢张口大笑了,对医生的精心诊治表示感谢。
什么是氟斑牙?
氟斑牙,又称氟牙症,是牙齿发育过程中长期摄入过量氟化物导致的牙釉质发育障碍,典型症状包括牙面出现白垩色条纹、黄褐色斑块,严重时可出现牙釉质凹陷、缺损。
常见原因包括:
饮用水中氟含量过高;长期使用含氟量超标的牙膏或漱口水,特别是儿童误吞;燃煤方式不当导致空气及食物氟污染。
如何预防氟斑牙?
1.科学饮水:高氟地区建议改用低氟水源,或安装除氟净水设备;
2.正确使用含氟产品:儿童应适量使用含氟牙膏,避免吞咽;
3.注意饮食与环境:避免长期大量摄入含氟量高的茶叶(如砖茶),或生活在燃煤污染区;
4.牙齿发育期(出生至6-7岁)是氟斑牙形成的关键窗口,需格外注意氟摄入。
氟斑牙如何修复治疗?
根据严重程度,可选择不同修复方案:
轻度:牙齿美白联合微研磨,改善表面色斑;
中重度伴缺损:推荐瓷贴面修复。薄如隐形眼镜的瓷贴面,可精准覆盖变色及缺损区域,形态自然、色泽逼真;
严重缺损:可考虑全瓷冠修复,恢复牙齿外形与咀嚼功能。
牙齿健康,笑容绽放!如果您或家人也遭遇口腔问题困扰,欢迎前来咨询就诊,您的笑容,我们护航!
咨询电话:029-87865147
就诊地点:通用环球中铁西安医院门诊二楼口腔科
就诊时间:周一至周日8:00-12:00 13:30-17:30




