近日,在多学科协作下,我院骨科团队为一名股骨颈骨折伴肾移植术后患者成功实施“股骨颈骨折切开复位内固定+带血管蒂腓骨移植术”,在保障患者移植肾功能稳定的前提下,实现骨折精准修复,为特殊患者骨科治疗积累了宝贵经验。
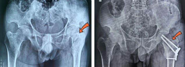
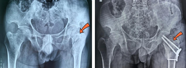
术前/术后
患者男性,39岁,因意外摔伤导致左髋部疼痛难忍,急入我院就诊,X线片检查显示:左侧股骨颈骨科,收治于骨科。患者既往有肾移植术后4年,合并高血压3级(极高危),腔隙性脑梗,且长期服用排异药物、激素等,用药种类多、病情复杂,手术风险较大。
对此,医务科积极组织骨科、肾内科、手麻科等开展多学科会诊,充分评估病情,排除手术禁忌症后,最终确定实施股骨颈骨折切开复位内固定+带血管蒂腓骨移植术。前者可实现骨折断端精准对位固定,后者通过移植带血供的腓骨,为骨折区域提供充足血运。因患者是股骨颈头下型骨折,股骨头坏死率高,进行腓骨移植能给股骨头重建血供,减少坏死率,减轻患者痛苦。
骨科主任姬传磊向患者及家属充分说明手术方案并取得同意后,在手麻科配合下行手术,包括骨折固定和带血管蒂游离腓骨移植,需在显微镜下吻合血管,而血管直径仅为2mm至3mm,需要细心缝合,操作难度极大,对医生技术水平要求极高。
在团队的密切协作下,手术历时4个小时顺利完成,患者安返病房,目前正在进一步康复中。
此次手术的成功完成,不仅体现了我院骨科在复杂骨折精准治疗领域的技术实力,更凸显了多学科协作在特殊患者诊疗中的关键作用,是对“以品质医疗守护生命健康”品牌理念的又一次坚实践行,同时为同类病例的诊疗提供了可借鉴的范例。

