9岁女孩走路时摔伤,致左肱骨远端骨折,伴左手麻木,家属为进一步治疗,驾车约300km前来我院就诊。骨科团队不负众望,制定方案并成功实施手术,用过硬技术和良好疗效,回报了患者家属沉甸甸的信任。
小方(化名),今年9岁,甘肃镇原人。7月16日晚上,她在家不慎摔伤,左肘部先着地,当即肿胀、疼痛,伴活动受限,被送至当地医院,诊断为左肱骨远端骨折伴神经损伤。家属从朋友处得知,我院骨科团队经验丰富,技术高超,为追求更好的治疗效果,遂连夜驾车从镇原赶往西安。
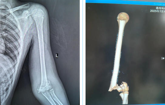
术前影像
17日7时许,小方被收住入院。彼时,距离摔伤已过去12个小时,左肘部肿胀畸形,左前臂旋转活动功能受限,左手感觉麻木,左桡动脉搏动减弱,诊断为左肱骨远端粉碎性骨折、左正中神经挫伤。“患者左手麻木,这是神经损伤的典型症状,一是要治疗骨折,二是要探查受损神经。”姬传磊主任团队明确病情后,拟行“左肱骨骨折复位复位内固定术+神经探查术”。
术后影像
手术于当日进行,吕红兵副主任医师主刀,小心翼翼地修复受损神经,开展左肱骨骨折复位内固定术,手术顺利结束,患者安返病房。之后几天里,患者桡动脉搏动恢复正常,左手麻木逐渐消失,于7月25日顺利出院。
姬传磊团队为小方爷爷做手术
值得一提的是,陪同小方来院治疗的爷爷,两年来有右手疼痛、麻木的毛病,目睹我院骨科团队精心施治、孩子顺利康复的过程后,出于对姬传磊主任团队技术的信任,主动提出要求在我院治疗。经过检查,诊断为:尺神经卡压、肘管综合征。择期行“尺神经松解前置术”治疗后,第二天右手疼痛症状即缓解,他高兴地紧紧握住了姬传磊的手……
对医者而言,最大的幸福莫过于见证患者痊愈、让家属安心。在我院骨科,这份医患之间双向奔赴的信任与温暖,成为医疗之路上一道动人的风景,同时继续激励着我院医护人员继续尽心尽力,以专业与仁心祛除病痛,守护生命健康!


