近日,我院超声科联合心血管病院房颤中心成功实施首例经食道超声心动图(TEE),为持续性房颤行经导管消融术开展精准术前评估,标志着我院心内科在复杂心律失常诊疗领域迈入精准化、微创化新阶段,为患者提供了更加安全、高效的一体化诊疗方案。
患者为男性,76岁,持续性房颤病史4年余,近半年出现活动后乏力、胸闷等心功能减退症状,2月前曾在我院完善冠脉造影排除冠脉狭窄引发的临床症状。近日因症状明显加重再次住院,拟行房颤射频消融术。
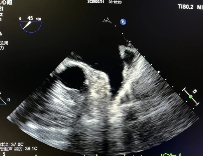
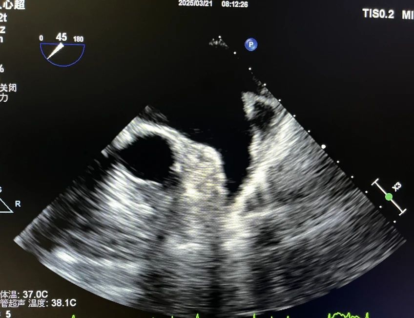
超声科团队在术前充分沟通后,通过先进设备及精准操作,成功获取左心房及肺静脉三维成像,排除了左心耳血栓风险,并精准定位肺静脉开口,为心血管内科团队开展手术提供了关键影像学依据,保障了手术顺利进行。术后,患者生命体征平稳,无相关并发症。
本病例中,我院超声科突破传统检查局限,有效开展了高难度的经食道超声心动图(TEE)引导下房颤消融术前评估;心血管内科团队精准制定手术方案,实现“影像-治疗”无缝衔接,凸显了我院多学科协作的显著优势。
“TEE技术的应用,不仅填补了我院在该领域的空白,更推动了医院结构性心脏病诊疗能力的全面提升。我们将进一步推广该项技术,服务于更多需要心脏介入治疗的患者。”超声科主任罗利红表示。
房颤,即心房颤动,是一种常见的心律失常,指心房失去规律的舒张和收缩,代之以无序的颤动,房颤有发生心功能减退、心源性栓塞等风险,且发生的脑栓塞通常致残率非常高。经导管射频消融术是持续性房颤的有效治疗手段,目前成功率较高。传统经胸超声心动图(TTE)受限于声窗条件,难以清晰显示左心房及肺静脉结构,而经食道超声心动图(TEE)通过将探头置入食管,可近距离、高分辨率观察心脏细微结构,精准评估左心房血栓、肺静脉解剖变异等关键信息,从而提升手术安全性及成功率。
我院将持续深耕心血管精准诊疗领域,以患者需求为导向,以技术创新为驱动,为区域内心血管疾病患者提供更加优质、专业和前沿的医疗服务。


