日前,我院神经外科团队顺利开展1例立体定向颅内血肿穿刺引流术、脑室钻孔引流术,展现了我院在“生命禁区”脑干出血救治领域的硬核实力。
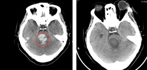
治疗前/治疗后(左图红圈内为出血区域)
患者女性,53岁,既往高血压病史20年余,入院前1小时无明显诱因出现意识不清,呼之不应,伴恶心、呕吐,家属急呼120送至我院急诊。头部CT扫描显示:脑干出血10.6ml,并溃入第四脑室,诊断为脑干出血、脑室出血。
脑干被称为人体的“生命中枢”,它位于大脑下方,连接脊髓和大脑其他区域,掌控呼吸、心跳、血压等核心生命体征,该区域空间狭小,神经血管密集交织,手术难度大、风险高,历来被视为神经外科的“手术禁区”。临床数据显示,脑干出血急性期死亡率高达60%至80%,即使幸存,也往往遗留肢体偏瘫、语言障碍、意识障碍等严重后遗症。
抢救生命,刻不容缓!经过充分术前准备,神经外科主任邱斌团队行急诊下立体定向颅内血肿穿刺引流术和脑室钻孔引流术。因脑干结构特殊,周围密布重要血管神经,故手术入路困难且易造成二次损伤,风险极高,邱斌主任团队克服困难,谨慎操作,最终有效吸除血肿,手术保留了周围重要血管和神经,整个过程顺利。术后,予以相关对症治疗,患者意识障碍逐渐减轻,出院后进一步行康复促醒治疗,目前恢复良好。
邱斌表示,脑干出血病情凶险,出血量超过5ml就可能致命,及时有效的手术干预,是挽救生命、降低致残率的关键。本病例中,患者发病可能与长期高血压有关,高血压患者若长期服药不规律、血压控制不佳,会导致脑血管硬化、脆性增加,极易引发脑出血,因此要遵医嘱规律服药,定期监测血压,避免熬夜、酗酒等不良生活习惯。
此次手术的开展,有力彰显了我院神经外科团队的技术实力,为脑干出血患者提供了更加安全、优质的救治方案,是“以品质医疗守护生命健康”品牌理念落地的生动典范。

