不少人喜欢喝“快乐水”,不过要警惕,“快乐水”可能变成“伤牙水”。
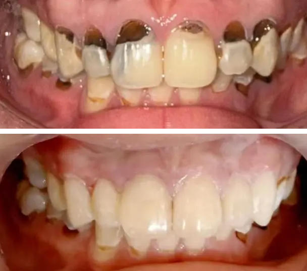
高中学生小李(化姓),16岁,因长期大量饮用碳酸饮料,且未及时正确漱口,导致饮料中的酸性物质长时间、反复腐蚀牙釉质,牙齿逐渐变成褐色,甚至出现实质性缺损,严重影响美观和健康。近日,他来到我院口腔科就诊。
上 治疗前 / 下 治疗后
党秀医生接诊后,经过仔细检查,发现小李患的是“牙齿酸蚀症”,俗称“可乐牙”。考虑到美观需求,党秀为他匹配牙齿颜色后,采用相关材料一层层雕刻、填充缺损部位。经过治疗后,小李牙齿表面逐渐恢复了光滑平整的形态与色泽。
上述病例并非个例。当前,随着饮食结构和习惯改变,“可乐牙”在青少年群体中普遍常见。那么,关于“可乐牙”,你了解多少?
“可乐牙”是怎样形成的?
“可乐牙”的本质是化学性酸蚀。几乎所有碳酸饮料、果汁、运动饮料都含有酸性成分(如磷酸、柠檬酸),这些酸性物质的pH值远低于牙齿釉质脱矿的临界值(pH5.5),频繁饮用时,牙齿长时间“浸泡”在酸性环境中,牙釉质表面的钙、磷离子就会被溶解、剥离,导致牙齿变薄变脆弱,失去原有的光泽和硬度,最终形成凹陷和着色。
如何科学预防“可乐牙”?
1.控制频率与总量。尽量减少饮用碳酸饮料和酸性果汁的频率,最好用清水或牛奶替代。
2.使用吸管,快速饮用。使用吸管可以减少饮料与牙齿表面的直接接触。同时避免小口慢饮,延长酸性物质在口腔内的停留时间。
3.饮用后漱口,半小时后再刷牙。饮用酸性饮料后,应立即用清水漱口,以中和、稀释口腔内的酸性环境。但切记不要立即刷牙,因为此时牙釉质被软化,立即刷牙会加剧磨损。建议等待30-40分钟,待唾液自然中和酸性后再刷牙。
如何治疗“可乐牙”?
1.早期白斑阶段:可通过再矿化治疗(如涂氟)来促进修复,遏制发展;
2.出现缺损或着色:可选择美学修复,具有微创、美观、经济等特点;
3.严重缺损:若牙齿缺损严重,可能需要进行瓷贴面或全冠修复。
牙齿健康是全身健康的重要组成部分,希望广大家长和青少年关注口腔健康,远离“可乐牙”,掌握正确的预防知识,让每一次笑容绽放都健康灿烂!
