日前,我院超声科顺利开展了一例超声引导下经皮肝内胆管穿刺术,缓解了结肠恶性肿瘤患者的胆道梗阻症状,为后续治疗创造了积极的机会。
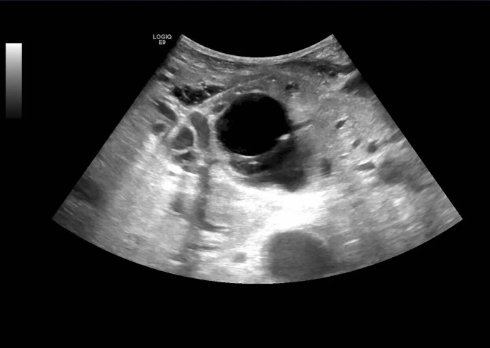
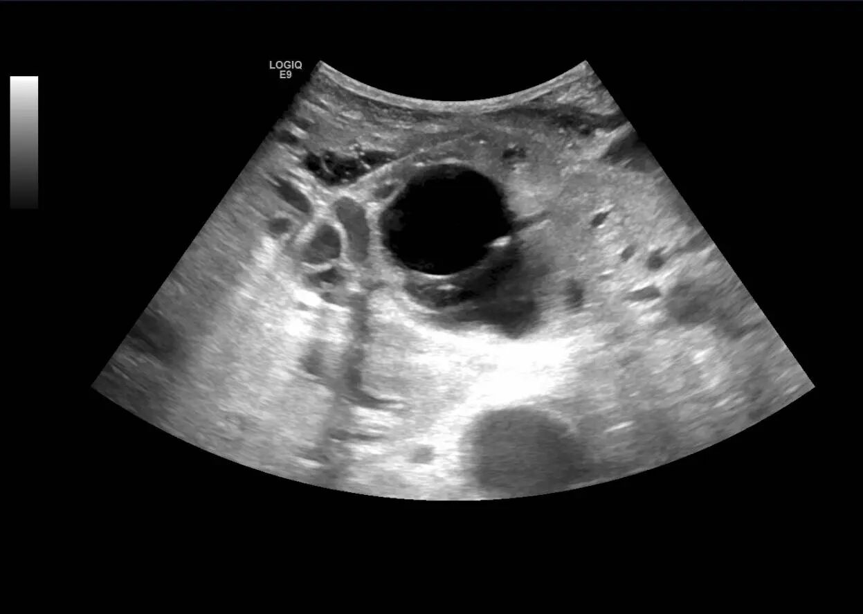
患者男性,70岁,9月下旬因腹胀腹痛1周、皮肤黄染就诊于我院综合外科。患者有结肠恶性肿瘤病史,身体虚弱,手术风险高。超声检查显示:患者肝内外胆管明显扩张,胆总管中下段占位,肝内转移瘤,需积极“减黄”,即黄疸治疗,以降低手术风险。
综合外科主任李前进与超声科主任罗利红综合评估后,拟行超声引导下经皮肝内胆管穿刺引流术(PTCD)。PTCD是在超声引导下,经皮肤及部分肝组织将穿刺针置入胆管内,再通过交换导丝将引流管置入胆道,疏通胆道、引流胆汁、缓解胆道梗阻,减轻黄疸腹痛等症状,达到改善肝功能之目的。
近日,在医生的精准操作和密切配合下,这一高难度微创介入手术顺利完成,有效改善了患者生活质量,为下一步临床手术积极争取了机会,同时标志着我院超声科在微创诊疗技术方面迈上了一个新台阶。
罗利红介绍,PTCD巧妙地将超声的“火眼金睛”与医生的“穿针引线”技术相结合,为因胆道梗阻而陷入险境的患者打开了一条生命通道,可快速缓解症状,提高患者生活质量,同时为后续治疗铺路,是危急关头一项不可或缺的“救险”技术。


