急性心肌梗死是一种危险的急性胸痛,被称为心血管疾病中的“头号杀手”,可并发室速、室颤、心源性休克,甚至心脏破裂,是心源性猝死的常见原因。日前,我院多科室密切协作,成功救治了一名突发急性心梗男子。
患者41岁,以“发作性胸闷、胸痛1天,加重2小时”为主诉来院就诊。原来2小时前,他无明显诱因突然出现持续性心前区压榨性疼痛,大汗淋漓,自行含服药物后不能缓解。心脏彩超提示广泛前壁运动幅度降低,心脏射血分数较低,表明泵血能力下降。急诊科立即按照胸痛救治流程给予治疗,并第一时间通知心血管病院会诊。刘亚梦医生会诊后,诊断为急性非ST段抬高型心肌梗死。
“患者心功能严重受损,随时可能发生室颤、心源性休克,病情危重,需要立即进行血管造影,尽快开通病变血管!”医生充分告知病情后,家属同意手术治疗。
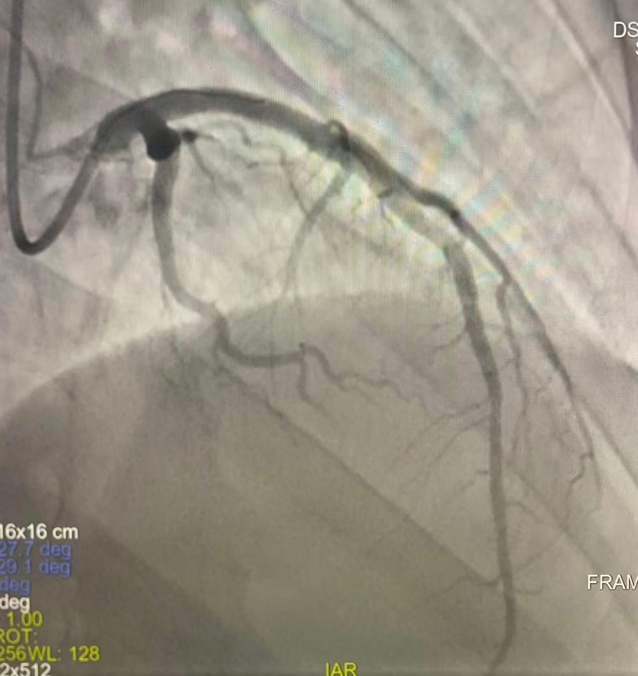
术前
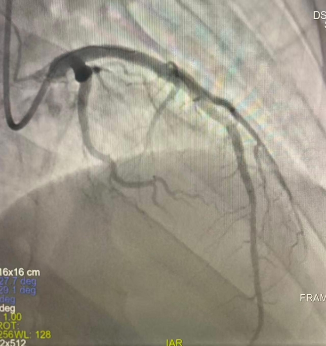
术后
就在刚转运至介入手术室时,患者突发室颤,心血管病院副院长刘云凤立即指导抢救,马玉娥医生行胸外按压、介入手术室紧急电除颤,转复窦律……经医护人员全力抢救,患者意识逐渐转清,在介入室行急诊PCI,冠脉造影提示左前降支LAD近段几乎全闭塞,顺利植入一枚支架,开通闭塞冠脉血管,实现梗死冠脉血流灌注。
经过急诊科、介入手术室、心血管病院团队的及时抢救,患者胸痛症状消失,住院治疗后康复出院。
刘云凤介绍,心脏就像一台传输血液的动力泵,不停地血液运送到全身,心脏自身需要的血液供应是通过冠状动脉来供给的,如果冠状动脉突然堵塞,或者粥样硬化斑块急速进展,管腔严重狭窄,将导致心肌缺少血液供应,从而缺血缺氧坏死,这就是急性心肌梗死。
急性心梗的典型症状为心前区压榨感、紧缩感、窒闷感,伴有乏力、出汗等,部分患者可能出现上腹不适、呕吐,血压下降,全身乏力等,症状不典型患者还可能出现牙痛、咽痛。
治疗急性心梗,时间就是生命!发病后的120分钟,是急性心梗救治的黄金时间,如果您或家人一旦出现心前区压榨感、紧缩感、窒闷感,或有乏力、出汗等,请立即拨打120,及时挽救“心”生命!

