你了解踇外翻吗?通俗来讲,就是大脚趾旁出现了一个突出的骨头,轻微时无明显症状,严重时会因疼痛影响行走。日前,我院骨科姬传磊主任团队通过踇外翻微创手术,帮助一名渭南患者顺利矫正脚趾,有效缓解了“行走的疼痛”。
患者为女性,68岁,7年前发现自己长时间行走后,左足第一跖趾关节处疼痛,休息后缓解,近年来疼痛加重。今年5月,其从朋友处得知,我院骨科副主任医师吕红兵临床经验丰富,技术成熟,遂前来就诊。
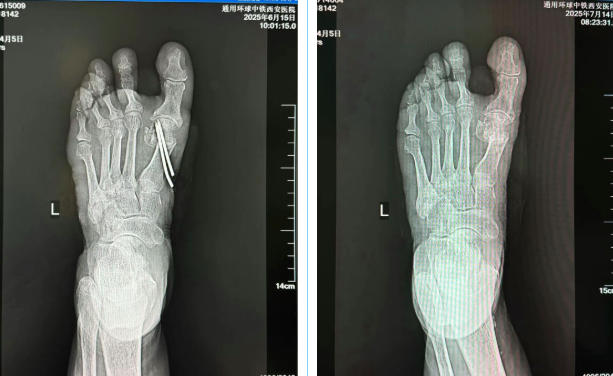
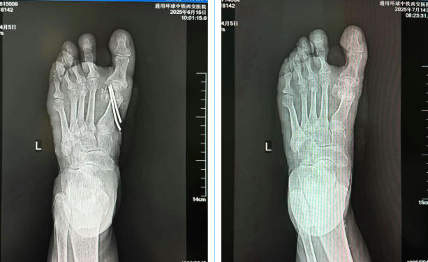
术前影像图
术后影像图
吕红兵完善相关检查发现,患者左足踇趾挤压第2趾,第1跖骨头处压痛明显,诊断为左足第一跖趾关节炎、左足踇囊炎,系重度踇外翻,拟行手术治疗。
术前/术后
和患者充分沟通并完成术前准备后,在科主任姬传磊的指导下,吕红兵凭借精湛的技术,顺利行微创踇外翻截骨矫形术,手术耗时较短,患者3天后下地行走,1周后顺利出院。
9月1日上午,患者来院复查,恢复情况较好,走路姿态基本正常,目前已回归到正常生活中。
吕红兵介绍,微创治疗踇外翻是一种简便、高效、安全的治疗方法,具有操作时间短、创伤小、患者痛苦少等优势,术后可早期下床活动,解决了传统手术创伤大、恢复慢等弊端。
为什么会出现踇外翻呢?吕红兵介绍,原因主要有三点:一是遗传因素,有一半踇外翻患者有家族史;二是外源性因素,其中“穿鞋不当”是主要原因,穿过窄、过小的尖头高跟鞋最伤脚;三是其他原因,包括外伤、风湿类疾病、痛风、神经系统疾病等。
吕红兵表示,拇外翻是否需要治疗,应综合考虑症状、畸形程度、治疗期望等多方面。如果拇外翻引起疼痛、肿胀、行走困难等明显症状,影响日常生活和工作,往往需要治疗;轻微拇外翻且无明显症状,可通过保守治疗来缓解,如穿着合适的鞋子、使用矫形器进行物理治疗等,建议咨询医生进行专业评估。
我院骨科已成功为多名踇外翻患者实施了微创矫正手术,帮助他们解除了痛苦。如果您或家人朋友正遭受踇外翻的困扰,不妨拨打骨科电话:029-87865846具体咨询。


