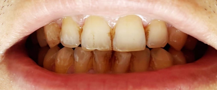
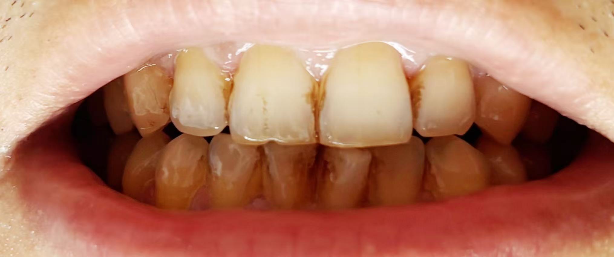
常年饮茶,是市民李先生的雅致享受,然而,这一爱好也在他的牙齿上留下了浓重的“印记”——顽固的茶垢堆积,让原本洁白的牙齿呈现黄褐色。出于美观的需求,近日,他走进我院口腔科。
治疗前后对比
经过专业的口腔检查,医生为李先生制定了治疗方案:专业超声波洁治(洗牙)+舒适喷砂处理。首先进行深层洁治,清除附着在牙齿表面及龈下的顽固牙结石,清除刺激牙龈的“元凶”;然后精细喷砂,利用高压水流混合特制细砂颗粒冲刷,瓦解沉积的茶渍、烟渍等外源性色素。大约1小时后,治疗顺利结束。
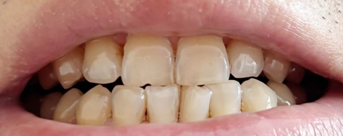
治疗前后对比
李先生再次照镜子,效果令自己既意外又惊喜:黄褐色的茶渍烟渍不复存在,牙齿重现自然健康的光泽!困扰多年的“面子”问题迎刃而解,久违的自信与笑容,在他的脸上重新绽放……
李先生的经历提醒我们,洁牙,绝非仅仅“变白”那么简单,而是有以下作用:
1.健康“防火墙”:牙菌斑和牙结石是牙周病的罪魁,定期洁牙(通常建议每半年至1年进行1次)能有效清除这些“定时炸弹”,预防牙龈出血、红肿、萎缩,甚至牙齿松动脱落,筑牢牙周组织健康根基。
2.色素“清洁工”:咖啡、茶、红酒、烟草等造成的外源性色素沉着,不仅影响美观,也为牙菌斑滋生提供了温床。洁牙,尤其是喷砂,是恢复牙齿本色、提升自信的关键。
3.蛀牙“侦察兵”:清洁后的牙齿表面光滑,菌斑不易堆积,可降低蛀牙风险。同时,洁牙过程中,医生能更清晰地发现早期龋坏等隐匿问题,实现早干预、早治疗。
4.口腔“大扫除”:日常刷牙再认真,也难以彻底清除口腔菌斑和牙石。专业洁牙是日常口腔护理的重要补充,为口腔健康提供了深层保障。
呵护牙齿健康,拥抱自信人生。市民朋友们,如您有有相关疑问,欢迎拨打电话:029-87865147咨询,共同开启您的口腔健康焕新之旅!





