当前,我院口腔科正畸矫治活动正如火如荼开展中,帮助不少爱美人士消除社交尴尬,重新拥抱快乐,绽放灿烂笑容。其中,市民王女士的“地包天”矫正之旅,让她着实收获了社交自信。
今年4月初,王女士带着对牙齿美观和功能改善的期望,来到我院口腔科就诊。她苦恼地说,自己牙齿有“地包天”问题,不仅影响面型美观,而且在咀嚼和发音上也存在不便,让自己在社交生活中缺乏自信。
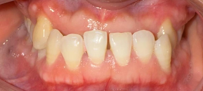
矫正前
党秀医生接诊后,进行了全面的口腔检查,结合王女士情况和期望目标,为她制定了一套科学、详实的个性化治疗方案。同时,她以通俗易懂的语言,细致地向王女士解释了牙齿问题的具体成因、正畸方法、治疗步骤、时间预期、注意事项及预期矫正效果等。
党秀医生专业耐心的讲解,消除了王女士的疑虑和担忧,她对本次矫正之旅充满了信心和期待。通过积极配合,定期复诊,3个月时间转瞬即逝,复诊时牙齿变化已悄然发生!
通过3个月的正畸治疗,王女士下前牙过度包住上前牙的情况明显改善,上下前牙开始趋向正常的覆盖关系;此外,随着反颌关系的初步解除,她的面部轮廓,尤其是侧貌开始呈现更加和谐的面型;王女士还反馈到,如今咀嚼食物时,感觉比之前顺畅有力了许多,说话发音也感觉更清晰了……
3个月矫正后
“党秀医生技术好,解释的也很详细,我现在对后续治疗更有信心了!”王女士看着发生的变化,喜悦之情溢于言表。
王女士的就诊故事,是我院口腔科正畸团队以精湛技术用心服务患者的生动写照。专业的诊断、科学的方案、耐心的沟通加上患者的积极配合,让牙齿不齐、“地包天”不再是难以逾越的鸿沟!
即日起至8月31日,我院口腔科开启正畸专属福利:
1、免费正畸初诊咨询
2、免费口腔影像学检查
3、免费正畸方案制定
预约热线:029-87865147
地址:通用环球中铁西安医院门诊二楼口腔科
接诊时间:周一至周日 08:00-12:00 13:30-17:30
如果您或家人朋友正遭受牙齿不齐、地包天、龅牙等问题困扰,渴望拥有健康整齐牙齿,欢迎前来咨询就诊,我们用专业与关爱,为您开启自信笑容的新篇章!

