高龄就一定是“手术禁区”吗?未必!特别是高龄老人骨折后,应予以充分评估,符合手术条件的,应尽早手术,从而让患者尽快恢复,减少并发症,降低死亡率。
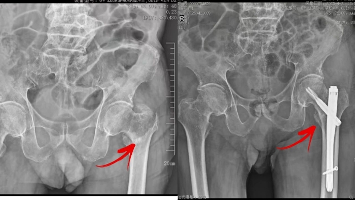
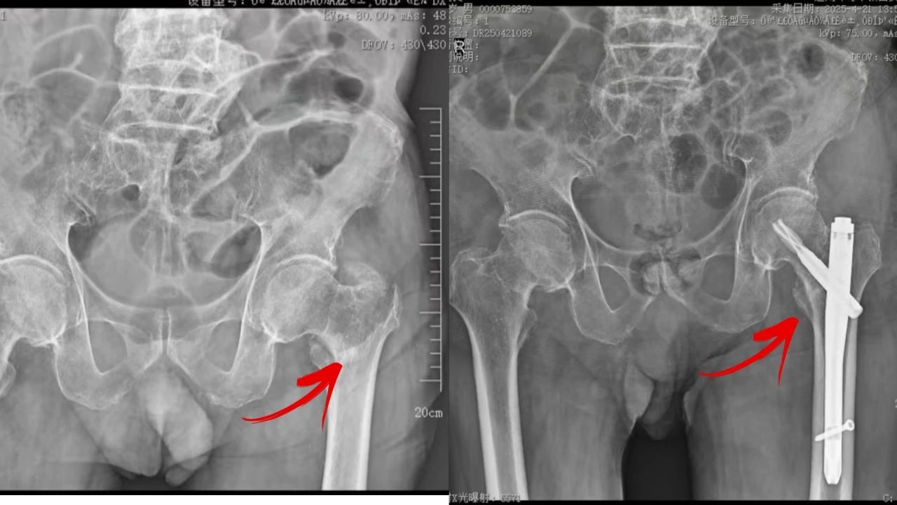
有一名94岁老人,在家时不慎摔倒,因左髋部疼痛不适来院就诊,CT显示左股骨粗隆间骨折。然而,由于患者高龄,合并有冠状动脉粥样硬化型心脏病、三级高血压等慢性疾病,表现为肺动脉高压,腔隙性脑梗塞,社区获得性肺炎,肺大泡,肺结节病,低蛋白血症,在无形中增加了治疗难度和风险,这给主管医生、骨科副主任医师吕红兵带来了不小的难题。
若保守治疗,则需要卧床行骨牵引2-3个月,骨折能否愈合尚且难说,但长期卧床极易出现褥疮、深静脉血栓、坠积性肺炎及泌尿系统感染等严重并发症;若手术治疗,能够复位骨折、缓解疼痛,让患者早期下床活动,减少并发症出现。但老人年近百岁,且合并其他疾病,手术难度极大,可能导致合并疾病加重,甚至危及生命。而无论是“麻醉关”还是“手术关”,对医务人员来说都是极大的挑战。
骨科姬传磊主任团队经充分术前评估、组织多学科讨论后认为,虽然患者高龄,但如果不开展手术,长期卧床可能造成多种并发症,风险较大,与家属沟通并征得同意后,决定手术治疗。
近日,在手麻科的配合下,姬传磊主任团队迎难而上,吕红兵副主任医师实施了左侧粗隆间骨折切开复位髓内钉固定术。术中,患者血压不稳定,心血管内科医务人员密切监测,及时调整药物,改善血压,确保手术顺利进行。手术结束后,患者生命体征平稳,恢复良好,目前已成功出院。
老年人股骨粗隆间骨折,被称为“人生最后一次骨折”,高龄患者保守治疗死亡率较高。我院成功开展此例手术,不仅突破了传统“高龄手术禁区”,彰显了我院在高龄患者复杂手术及围手术期管理领域的实力,更体现了“以患者为中心”的精准医疗理念。
专家提醒,老年人需注意居家防滑,若不慎摔伤,应及时就医。我院骨科团队成熟开展高龄患者骨折微创治疗,为老年群体骨骼健康提供全方位保障!

