无痛支气管镜,不仅能让患者在舒适状态下完成检查,还有助于明确诊断,为临床治疗提供有力支持和坚强保障。
有一名女性患者,日前在外院诊断为病毒性肺炎,I型呼吸衰竭,经对症治疗后未见好转,以“咳嗽、咳痰伴气短”为主诉,来我院呼吸与危重症医学科就诊。
入院时,患者口唇紫绀,伴有明显咳嗽、少量痰,不能自行活动。经询问病史、查体并结合检查结果,初步诊断:机化性肺炎不排除,且合并呼吸衰竭。为进一步明确病因,科主任戚刚强建议行电子支气管镜检查及取活检病理组织。
传统的支气管镜检查,往往仅采用鼻咽部局部麻醉,患者在清醒状态下接受检查,易出现咳嗽、憋气、恶心等不适,甚至会因紧张恐惧而无法配合,导致检查中断,从而影响病情诊断。该病例中,患者病情危重,诊断尚不明确,行支气管镜下活检或经皮肺穿刺活检是必要检查手段,而气管镜下活检相对风险低、创伤小,特别是无痛支气管镜检查,是在静脉全麻下进行的,患者全程处于睡眠状态,几乎无痛苦,能避免过度应激引起并发症。
经充分评估与沟通,戚刚强主任团队决定采用无痛支气管镜检查。在镜下,医生清晰观察到患者气道内病变情况,精准进行活检,获取病理样本。整个操作顺利,患者苏醒后无不适。病检结果提示小块肺组织慢性炎,肺泡间隔稍增宽伴纤维组织增生,支持机化性肺炎诊断。
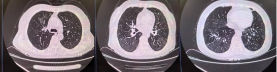
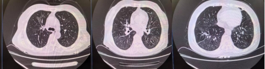
患者入院时胸部CT
1个月后复查胸部CT
明确病因后,戚刚强主任团队开展有针对性的治疗,时刻关注患者病情变化。在医护人员的悉心照护下,患者病情逐渐稳定,症状消失,复查胸部CT显示较前明显吸收,治疗有效。
机化性肺炎是一种较为复杂的肺部疾病,可能出现咳嗽、咳痰(多为白色黏液状,偶见痰中带血)、呼吸困难、胸痛发热、乏力、盗汗等症状,病理表现以肺泡和肺泡管内存在肉芽组织栓为主要特征。
我院开展的无痛气管镜检查,进一步提升了患者在诊疗过程中的舒适度和依从性,为机化性肺炎等呼吸系统疾病的诊治提供了保障,助力患者重获畅快呼吸。
疼痛被视为继脉搏、呼吸、血压、体温之后的第五大生命体征,在没有痛苦和恐惧的情况下就诊、检查及治疗,是不少患者的愿望。
我院拥有先进的医疗设备和较强的技术力量,常态化开展一系列无痛诊疗项目,如无痛消化内窥镜、支气管镜检查、无痛分娩、无痛人流等,有效提升了患者就诊舒适度。我们将进一步提升无痛医疗建设水平,努力为患者提供更加舒适的就医体验,让患者得到更高质量的照护服务。


