超声引导下置管引流术,以微创、精准、安全、恢复快等特点,为不少肝囊肿合并感染的患者带来了健康福音。
肝囊肿伴感染——囊内沉积物
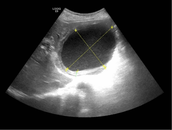
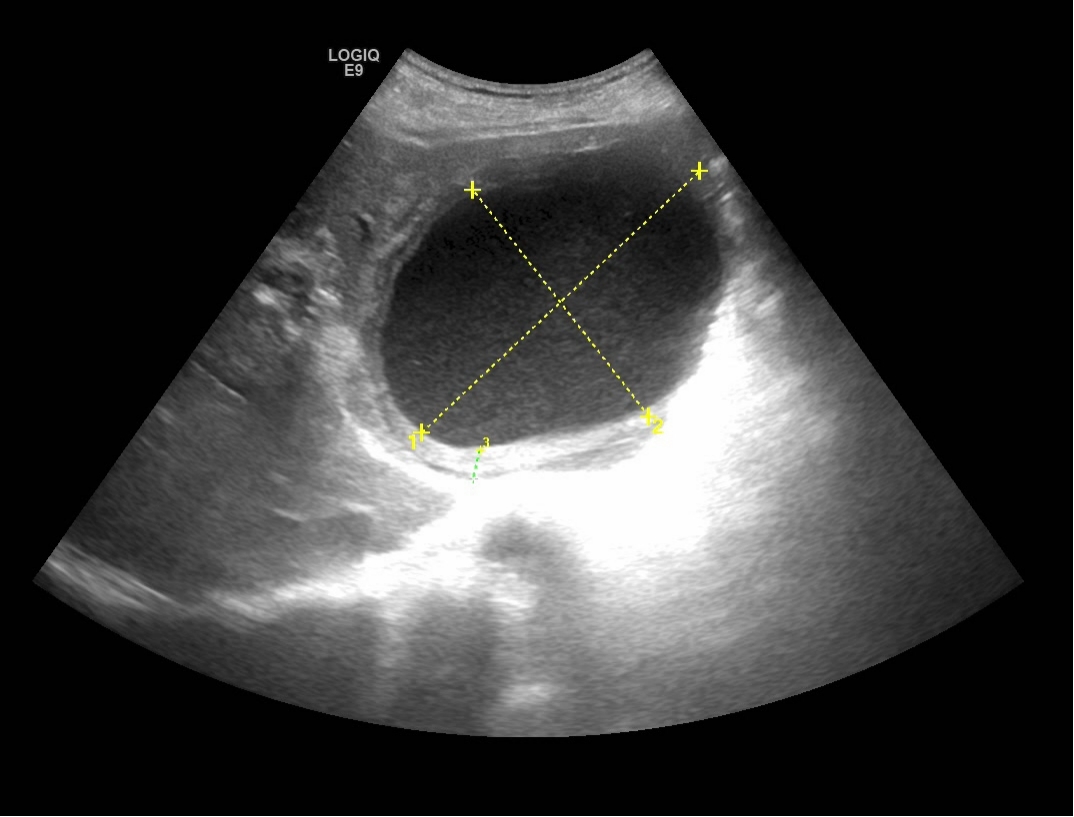
一名73岁的男性,因腹痛、发热4天,来我院消化内科就诊。经查体,患者以中上部腹痛为主,体温最高39.0℃。腹部彩超检查显示,肝左叶可探及大小约108x79mm的巨大囊性回声,挤压周围正常肝组织和血管,内部“灰蒙蒙”的。
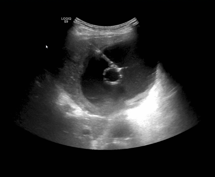
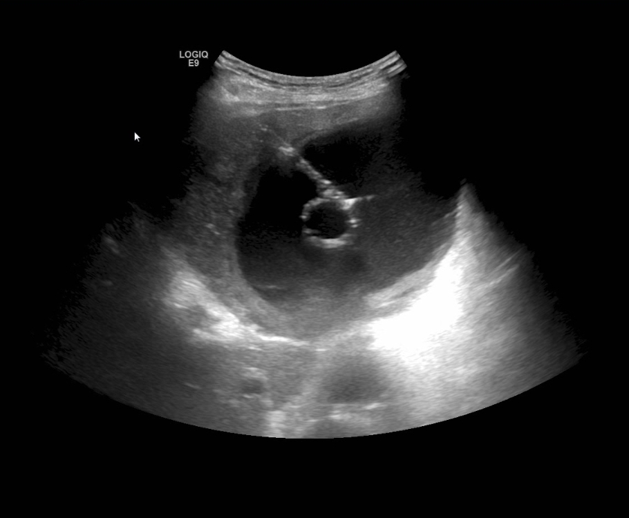
置入猪尾巴管引流出脓液
消化内科主任张排旗与超声科主任罗利红联合会诊,考虑患者发热和肝囊肿合并感染有关,决定给予抗感染治疗的同时,行超声引导下肝囊肿合并感染穿刺置管引流术。置管后,患者发热消退,腹痛缓解,脓腔明显变小,引流出500ml脓液,并进行细菌培养,结果为大肠埃希菌。患者症状明显缓解,感染得到控制,恢复良好。
那么,什么情况下的肝囊肿需要治疗?罗利红介绍,一是巨大肝囊肿。少数肝囊肿生长速度较快,当囊肿直径超过10cm时,医学上称为巨大肝囊肿,巨大肝囊肿易引起压迫症状,应积极治疗;二是肝囊肿继发感染。患者可有肝区疼痛、发热、血白细胞升高等炎症表现,应及时进行抗感染治疗;三是囊肿继发出血。少数肝囊肿的囊壁血管可自发破裂,导致囊内出血,可能无明显症状,也可能出现肝区剧痛,酷似急腹症,若保守治疗无效,应进行手术治疗。
超声引导下置管引流术,具有创伤小、准确性高、安全性好等特点,是治疗肝囊肿合并感染的重要手段,我院将继续推广该技术的临床应用,为更多患者提供优质、高效、便捷的医疗服务!


